Ακτινικές Υπερκερατώσεις
Δώστε σημασία στα “σημάδια” του ήλιου στο δέρμα και θεραπεύστε τα!
Τί είναι η ακτινική υπερκεράτωση;
Η ακτινική υπερκεράτωση (< ακτίνα ηλίου) ή αλλιώς ηλιακή υπερκεράτωση αναφέρεται σε μια δερματική βλάβη που παρουσιάζεται με τραχείς, ξηρές και φολιδωτές αυξήσεις και προκαλείται κυρίως από την χρόνια έκθεση στην υπεριώδη ηλιακή ακτινοβολία (UV).
Αρχικά, αναπτύσσεται ως πολλαπλές (1-2 mm) κηλίδες στο δέρμα, ευκολότερα αισθητές παρά ορατές, που με την πάροδο του χρόνου μεγεθύνονται ελαφρώς και συνήθως γίνονται ανάγλυφες, κοκκινωπές ή καφεοειδείς και φολιδωτές. Σε κάποιες περιπτώσεις, μπορεί να έχουν και κωνοειδή μορφή πάνω από την επιφάνεια του δέρματος (δερματικό κέρας).
Ήξερες ότι…;
Στατιστικά, περισσότεροι από 58.000.000 Αμερικανοί πολίτες πάσχουν από ακτινική υπερκεράτωση. Εντοπίζεται στο 15% των κατοίκων της βόρειας Αμερικής, αλλά και της Ευρώπης, ενώ η Αυστραλία φαίνεται πώς έχει το υψηλότερο ποσοστό στον κόσμο !
Σε ποιά σημεία εμφανίζονται συνήθως;
Οι ακτινικές υπερκερατώσεις πιο συχνά εντοπίζονται στις περιοχές μακροχρόνιας έκθεσης στον ήλιο και πιο συγκεκριμένα, το κεφάλι (φαλακρό και σημεία του τριχωτού τμήματος), το πρόσωπο (χείλη, αυτιά, μάγουλα, μύτη), τα χέρια (βραχίονες, ράχες και πίσω μέρος), τον λαιμό και το άνω μέρος του θώρακα.
Ποιοί είναι πιο πιθανό να εμφανίσουν ακτινική υπερκεράτωση;
Η συγκεκριμένη δερματική βλάβη απαντάται συχνότερα σε άτομα με ανοιχτόχρωμο ή/και φωτοευαίσθητο δέρμα. Η συχνότητα εμφάνισης είναι ελαφρώς υψηλότερη στους άνδρες. Ηλικιακά, εμφανίζεται συνήθως σε άτομα άνω των 40-50. Όμως, μπορεί να αναπτυχθεί και σε νεαρότερες ηλικίες (> 20 ετών), μετά από παρατεταμένη έκθεση στην ηλιακή ακτινοβολία.Ποιές είναι οι αιτίες της ακτινικής υπερκεράτωσης;
Μεγάλη προσοχή θα πρέπει να δίνουν άτομα που:
- Είναι άνω των 40 ετών.
- Ζουν σε ζεστό και ηλιόλουστο κλίμα (χώρες κοντά στον ισημερινό). Ακόμη και κατά τους χειμερινούς μήνες, δεν υπάρχει απόλυτη προστασία, καθώς το 70-80% της υπεριώδους ακτινοβολίας διαπερνά τα σύννεφα, αλλά και αντανακλάται επιτυχώς και μέσα από επιφάνειες (π.χ. άμμος, χιόνι).
- Έχουν ιστορικό ηλιακών εγκαυμάτων ή καρκίνου του δέρματος.
- Επιλέγουν τακτικά το τεχνητό μαύρισμα (solarium).
- Εκτίθενται λόγω εργασίας σε ακτίνες-Χ ή βιομηχανικά και χημικά προϊόντα (άνθρακα, πίσσα).
- Έχουν χλωμό δέρμα, φακίδες, κόκκινα ή ξανθά μαλλιά και μπλε ή ανοιχτόχρωμα μάτια.
- Έχουν μειωμένες ανοσοποιητικές άμυνες, λόγω του ιού HIV ή λόγω χημειοθεραπειών ή λόγω μιας μεταμόσχευσης οργάνων ή ακόμη, λόγω μιας μελαγχρωματικής ξηροδερμίας ή και λόγω αλμπινισμού (λευκοπάθειας).
Ποιά είναι τα συμπτώματα της ακτινικής υπερκεράτωσης;
Συνήθως δεν έχουν αξιόλογα συμπτώματα, πέρα από την αίσθηση κνησμού ή καψίματος στην πληγείσα περιοχή.Πώς μπορεί να προληφθεί η ακτινική υπερκεράτωση;
- Περιορίζετε τον χρόνο παραμονής σας στον ήλιο. Η ηλιακή βλάβη είναι αθροιστική με τα χρόνια.
- Χρησιμοποιείτε καπέλο με γείσο, ελαφρά μακρυμάνικα ρούχα και, φυσικά, αντηλιακό με υψηλό δείκτη προστασίας (SPF) σε όλες τις εκτεθειμένες περιοχές - συμπεριλαμβανομένων και των χειλιών - και ανανεώνετέ το κάθε 2 ώρες ή και πιο συχνά.
- Περιορίζετε ή αποφεύγετε τελείως τη μέθοδο του τεχνητού μαυρίσματος (solarium).
- Ελέγχετε το δέρμα σας τακτικά και αναφέρετε τυχόν αλλαγές στον γιατρό σας.
- Μην αμελείτε έναν τακτικό ετήσιο ιατρικό έλεγχο.
Ήξερες ότι…;
…η ακτινική υπερκεράτωση ομοιάζει συμπτωματικά
και με άλλες δερματικές παθήσεις, όπως ψωρίαση & καρκίνο του δέρματος!
Μπορεί η ακτινική υπερκεράτωση να μεταλλαχθεί σε κακοήθεια (καρκίνο);
Η ακτινική υπερκεράτωση συνιστά τύπο προ-καρκινικής βλάβης και ο κίνδυνος μεταγενέστερης μετάλλαξής της σε καρκίνο (ακανθοκυτταρικό καρκίνωμα, τη δεύτερη πιο κοινή μορφή) αν αφεθεί χωρίς θεραπεία, μέσα σε διάστημα 10 ετών ανέρχεται σε 6% - 10%.
Σε σπανιότερες περιπτώσεις, μπορεί επίσης να μεταλλαχθεί σε βασικοκυτταρικό καρκίνωμα, την πιο κοινή μορφή καρκίνου του δέρματος.
Πότε πρέπει να επισκεφτείτε τον δερματολόγο;
Αν παρατηρήσετε μια βλάβη στο δέρμα που έχει οποιοδήποτε από τα ακόλουθα χαρακτηριστικά, επικοινωνήστε με τον δερματολόγο σας άμεσα:
- Υπάρχει φαγούρα ή αιμορραγία.
- Γίνεται αισθητά παχύτερη.
- Αλλάζει σε μέγεθος, σχήμα ή χρώμα.
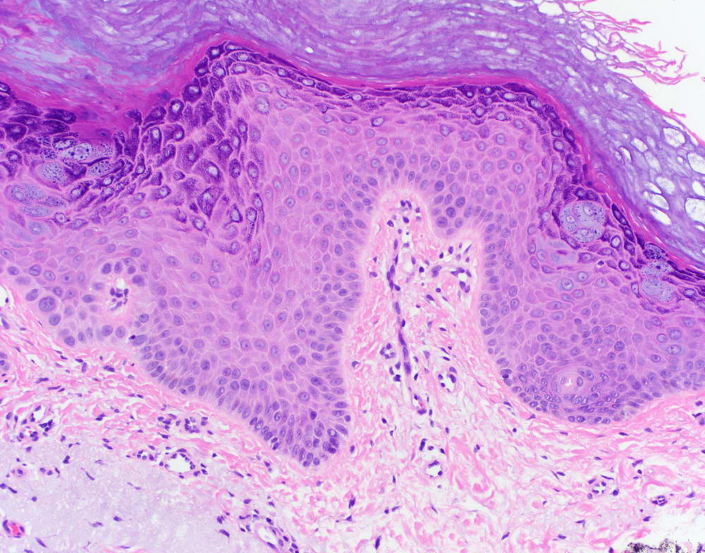
Πώς γίνεται η διάγνωση;
Η διάγνωση γίνεται με φυσική εξέταση. Αν ο ιατρός κρίνει ότι χρειάζεται περαιτέρω διερεύνηση, μπορεί να συστήσει και βιοψία, ώστε δείγμα από την δερματική βλάβη να σταλεί για ανάλυση στο εργαστήριο, ελέγχοντας την υποψία τυχόν πρώιμου καρκίνου.
Ποιά είναι η θεραπευτική αντιμετώπιση της ακτινικής υπερκεράτωσης;
Οι ακτινικές υπερκερατώσεις είναι προτιμότερο να αφαιρούνται μόλις εντοπιστούν, ώστε να προλαμβάνεται η όποια πιθανή μετάλλαξή τους.
Η κατάλληλη θεραπεία επιλέγεται βάση του αριθμού των υφιστάμενων βλαβών. Υπάρχουν διάφορες θεραπείες (π.χ. κρυοθεραπεία), όμως, ως πιο ενδεδειγμένη και σύγχρονη μέθοδος για τη θεραπεία των ακτινικών υπερκερατώσεων θεωρείται η δερμοαπόξεση με LASER CO2 (πιστοποιημένο από τον FDA).
Πλεονεκτήματα:
- Είναι μη – επεμβατική τεχνική.
- Είναι αναίμακτη τεχνική (προσφέρει καλή αιμόσταση).
- Δίνει ακρίβεια στον εντοπισμό και την καταστροφή της βλάβης, χωρίς να επηρεάζεται ο περιβάλλων ιστός.
- Δίνει άμεσα αποτελέσματα.
- Δεν έχει πόνο και ταλαιπωρία.
- Έχει ταχεία επούλωση, χωρίς να αφήνει αντιαισθητικά σημάδια.














